По характеру и локализации боли можно определить наиболее вероятную причину недомогания, что позволит сразу обратиться к нужному специалисту. К опасным признакам относится боль в правом подреберье, отдающая в спину. Она может свидетельствовать о поражениях внутренних органов, патологиях позвоночника и даже о наличии онкологических образований. Чтобы разобраться, насколько серьезна проблема со здоровьем, необходимо тщательно проанализировать саму боль и симптомы, ей сопутствующие.
Боль в правом подреберье, отдающая в спину
Основные причины возникновения боли
В правой части тела находятся печень с желчным пузырем, аппендикс, правая почка. Также здесь проходит часть толстого кишечника, часть диафрагмы, полая вена и расположены желчные протоки. Чувство боли и дискомфорт в боку могут вызываться различными патологиями этих органов, а также болезнями позвоночного столба и спинного мозга.
Чаще всего боли в правом боку вызываются заболеваниями внутренних органов, расположенных с этой стороны тела
Обычно так проявляются следующие болезни:
- остеохондроз;
 - искривление позвоночника;
 - спондилез;
 - межпозвонковая грыжа;
 - аппендицит;
 - кишечные колики;
 - пиелонефрит;
 - холецистит.
 
Этот перечень далеко не полный, и помимо основных заболеваний, вызывать болевой синдром могут осложнения, развивающиеся на их фоне. Кроме того, нельзя исключать механические травмы, последствия которых нередко наблюдаются даже спустя несколько лет. В отдельных случаях дискомфорт в подреберье беспокоит и вполне здоровых людей, что обычно связано с нагрузками и определенным физиологическим состоянием.
Болеть в боку может и у здоровых людей, например, после поднятия тяжестей или длительного сидения в неудобной позе
Ну и наконец, нужно учитывать тот факт, что болевые ощущения могут иррадиировать, то есть, распространяться за пределы пораженного участка, возникая в зоне сердца, желудка, легких, бронхов либо мочевыводящих путей.
Совет. Пока не будет выявлена истинная причина боли, нельзя применять какие-либо лечебные методики, в том числе и народные средства.
Как определить проблему
Для определения причины дискомфорта следует обращать внимание не только на характер боли и участок, где она возникает, но и на сопутствующие симптомы. Все вместе это укажет на самое вероятное заболевание и позволит быстрее принять меры.
Определить причину боли можно по локализации неприятных ощущений и сопутствующим симптомам
Заболевания позвоночного столба
Проблемы с позвоночником часто проявляются болью в подреберье, отдающей в разные отделы спины и тазовой области. Это происходит из-за снижения мышечного тонуса и воздействия на нервные корешки, расположенные в позвоночном столбе. С той стороны, где мышцы зажаты, ощущаются тупые, тянущие боли, заметно усиливающиеся при движениях тела, поднятии тяжестей или нахождении в неудобной позе. При компрессии корешков боли обычно острые, внезапные, простреливающего характера.
Боли в правом боку часто являются следствием заболеваний позвоночника, сопровождающимися защемлением нервных окончаний
Из подреберья боль может распространяться не только на спину, но и в конечности, преимущественно по ходу пораженного нерва. Дополнительно недуг сопровождается следующими симптомами:
- нарушение чувствительности – онемение, покалывание, ощущение «мурашек» по коже;
 - ограничение подвижности позвоночника;
 - чувство жжения в месте компрессии.
 
При остеохондрозе в грудном или шейном отделе наблюдаются головные боли, головокружения, дискомфорт в грудной клетке. Если имели место травмы позвоночника, ребер, лопаток, болевые проявления имеют ноющий характер и усиливаются при движениях тела, кашле, даже глубоком вдохе. Визуально можно наблюдать гематомы, припухлости либо отеки в местах повреждения. С травмами обращаться нужно к травматологу, в остальных случаях – к врачу-ортопеду или вертебрологу.
Своевременное обращение к специалисту поможет избежать развития серьезных осложнений
Болезни ЖКТ
Заболевания, связанные с пищеварительной системой, чаще других проявляются болью в боку. Это обусловлено расположением аппендикса, желчного пузыря и печени. В большинстве случаев наблюдается стойкая взаимосвязь выраженности симптомов с приемами пищи.
| Заболевание | Симптоматика | 
|---|---|
| 
 Холецистит  | 
Сначала ощущается тупая, ноющая боль в области ребер, при обострении появляются резкие болевые приступы с иррадиацией в спину . Сила приступов увеличивается после принятия пищи. Может возникать сильная тошнота, отрыжка, однократная рвота. Во рту ощущается горечь или неприятный металлический привкус. Температура может подниматься выше 38°С. | 
| 
 Желчекаменная болезнь  | 
С правой стороны возникает тяжесть, которая ощущается сильнее после жирных, жареных и острых блюд, алкоголя и при больших нагрузках. В дальнейшем появляются рези, распространяющиеся от подреберья под лопатку (правую), в плечо и ключицу. При обострении отмечается очень резкая пульсирующая боль, которая захватывает область грудины. Дополнительные симптомы: горечь во рту, приступы тошноты, обесцвечивание кала, потемнение мочи, появление на коже желтых пятен. | 
| 
 Панкреатит  | 
Боль приступообразная, опоясывающего характера. Со временем интенсивность болевых проявлений усиливается, наблюдается мышечная слабость, снижение либо полная потеря аппетита, приступы тошноты, рвоты. Может повышаться температура, также у больного отмечается вздутие живота, диарея, при которой каловые массы покрывает жирная пленка. | 
| 
 Патологии печени  | 
Долгое время протекают бессимптомно, затем появляется тяжесть и тупая боль в правом боку. Выраженность болей нарастает, они приобретают распирающий характер, возникает стойкий дискомфорт в подреберье, иногда в грудине. Распирание и тяжесть усиливаются после переедания, пищевого отравления, обильного употребления алкоголя и обычно сопровождаются сильной тошнотой. При гепатитах дополнительно отмечается пожелтение кожи и белков глаз, изменение цвета испражнений, мочи, вздутия живота. При циррозе помимо боли ощущается сильное жжение в области подреберья, головокружения, слабость. | 
| 
 Воспаление аппендикса  | 
Сначала ощущается тянущая боль сбоку, под ребрами, иррадиирующая в спину и низ живота. Дальше возникают резкие боли в зоне пупка, усиливающиеся при движении тела, кашле, чихании. Дополнительные симптомы: тошнота, резкое повышение температуры, рвота, сухость во рту, нарушения стула. В подвздошной области ощущается пульсация. | 
| 
 Диафрагмальная грыжа  | 
Боль тупая, обычно опоясывающая, различной интенсивности. Усиливается при переедании, неудобном положении тела, сильном кашле. Отдает не только в спину, но и под лопатку, в грудную клетку. Обычно болевые проявления снижаются или вовсе стихают после отрыжки, рвоты и сильного вдоха. | 
Похожими симптомами характеризуются некоторые заболевания желудка, например гастрит и язва, а также патологии двенадцатиперстной кишки. Описанные признаки относятся лишь к общим проявлениям и на их основании нельзя поставить точный диагноз, так что в любом случае необходимо пройти клиническое обследование. Для консультации обращаться нужно к терапевту, гастроэнтерологу, также может понадобиться помощь врача-инфекциониста или гепатолога.
Болезни дыхательной системы
Расположение бронхов и легких обуславливает локализацию болей под ребрами преимущественно в верхней части. В зависимости от вида патологии, боль может распространяться по всей грудине, отдавать в спину, конечности, область брюшины.
Патологии дыхательной системы тоже могут проявляться болью в подреберье
Как правило, эти заболевания сопровождаются целым рядом характерных симптомов:
- сухой или мокрый кашель;
 - высокая температура;
 - слабость в мышцах;
 - головные боли;
 - затруднение дыхания;
 - скопление мокроты, иногда с примесью крови и гноя;
 - першение, боль в горле;
 - усиленное потоотделение.
 
При кашле либо чихании боль усиливается, в состоянии покоя уходит. Указанные симптомы проявляются при плеврите, пневмонии, бронхите, раковых опухолях, а на их интенсивность влияет степень тяжести заболевания и физиологические особенности организма.
Боли в подреберье усиливаются при кашле и чихании
При пневмотораксе основным проявлением остается боль: она резко возникает в груди, захватывает подреберье, отдает под лопатку и в руку, значительно возрастает при вдохе. Для консультации, обследования необходимо обращаться к терапевту и пульмонологу.
Патологии мочевыводящей системы
Заболевания, затрагивающие мочевыводящую систему, сопровождаются болью в боку, в нижней его части, с иррадиацией в спину, тазовую область, низ живота и половые органы. Тип заболевания влияет на характер боли. При коликах в почке и тромбозах почечных артерий это режущие боли, отдающие в пах, зону таза и низ живота. Усиливаются при физической активности, поднятии тяжестей, спровоцировать приступ может и тряска в общественном транспорте.
Боли при патологиях мочеполовой системы могут отдавать в подреберье и ничнюю часть спины
При пиелонефрите, абсцессах почки, гидронефрозе боли тянущие, тупые, отдающие в крестцово-поясничную зону и усиливающиеся при нажатии на больной участок. Дополнительная симптоматика включает повышение температуры, общую слабость, потемнение либо помутнение мочи, головные и суставные боли, проблемы с мочеиспусканием. Для консультации и обследования нужно записаться на прием к врачу-нефрологу либо урологу.
Гинекологические заболевания
Нельзя обойти вниманием гинекологические болезни. Воспаление маточных труб, яичников, развитие онкологических образований, внематочная беременность – эти и другие состояния почти всегда сопровождаются тянущими болями в боку и нижней части живота.
У женщин боли в пояснице и правом подреберье часто являются симптомом гинекологических заболеваний
Боли могут отдавать в поясницу, крестец, распространяться по всему животу. Усиливается болевой синдром во время месячных и при половом акте, больших физических нагрузках, переутомлении. На проблемы с женским здоровьем указывают сопутствующие симптомы: нарушения цикла, выделения из половых путей при отсутствии месячных, резкое повышение температуры.
У беременных тоже нередко наблюдаются боли в подреберье, но вызваны они не болезнью, а естественными причинами: по мере развития плода матка увеличивается и начинает сдавливать расположенные рядом органы. Такие боли имеют тянущий характер и умеренную выраженность, усиливаются при нахождении в неудобной позе и физических нагрузках.
При беременности боль в подреберье обычно вызывается физиологическими причинами, и если отсутствуют другие симптомы, тревожиться не стоит
Если им сопутствуют боли при мочеиспускании, повышение температуры, выделения из половых путей, это уже является поводом для беспокойства и визита к гинекологу.
Когда необходима неотложная помощь
Игнорировать болевой синдром нельзя, где бы он ни локализовался. Другое дело, как на него реагировать в конкретной ситуации – вызывать скорую или отправиться в клинику самостоятельно, выбрав удобное для себя время. Итак, неотложная помощь требуется, если:
- боль под ребрами резкая, очень сильная и не проходит в течение 30-40 минут;
 - прием спазмолитиков не дает результата;
Если прием спазмолитиков не дает результата, нужно немедленно вызывать врача
 - боль возникает острыми приступами с небольшими интервалами между ними;
 - резко поднимается температура;
Резкое повышение температуры при боли в подреберье — очень тревожный симптом,и в таких ситуациях требуется неотложная помощь
 - при пальпации появляются болезненные ощущения, прощупываются уплотнения или припухлости;
 - дискомфорт сопровождается головокружением, слабостью, приступами тошноты или рвоты;
Квалифицированная помощь нужна и в тех случаях, когда боли в боку сопровождаются тошнотой или рвотой
 - в моче наблюдаются кровяные примеси.
 
При наличии хотя бы одного из указанных симптомов необходимо вызвать на дом врача, а пока он едет, лечь на диван и принять положение, в котором боль ощущается меньше всего. Ни прогревать, ни прикладывать лед в таких случаях нельзя, как и принимать сильные обезболивающие. Также нельзя применять народные средства, ведь пока не установлен диагноз, любые меры могут нанести вред.
Показания и способ применения «Дротаверина»
Если описанные выше признаки отсутствуют, но дискомфорт и боль периодически возвращаются, нужно в ближайшее время записаться на прием к врачу. Чем раньше определить причину недомогания, тем быстрее получится ее устранить.
Видео — Боль в правом подреберье, отдающая в спину

Источник
Область, расположенную под нижними ребрами со стороны спины, тоже можно считать левым и правым подреберьем, хотя более понятное название — поясница. Спереди, говоря о подреберье, мы имеем в виду область печени, прилегающую нижним краем к реберной дуге.
Если рассматривать эту зону в переднезаднем направлении, то мы убедимся, что боль в правом подреберье, отдающую в спину, может вызвать разная патология. Диагностика причин болей очень сложна. Необходимо учитывать топографические особенности и анатомическое строение всех локальных структур и возможность иррадиации.
Особенности «географии» зоны правого подреберья
Область подреберья хорошо защищена плотными мышцами живота и спины, реберным каркасом, листками брюшины, диафрагмой. Здесь плотно прилегают друг к другу важные паренхиматозные органы.
Скелет грудной клетки имеет особенные подвижные нижние две пары — XI и XII ребер. Они не «вплетаются» справа в реберную дугу, а заканчиваются свободными концами в мышцах брюшины.
Почка расположена забрюшинно на уровне от III поясничного до XI грудного позвонка. Самым последним ребром пересекается по задней поверхности на границе верхней и средней трети. Поддерживается связками, особым мышечным ложем и внутрибрюшным давлением, создаваемым сокращением брюшного пресса и диафрагмы.
Далее к передней поверхности на уровне верхних 2/3 прилежит печень, к нижней 1/3 — изгиб ободочной кишки. Центральная зона соприкасается с двенадцатиперстной кишкой. На поверхности печени имеются анатомические ямки, куда компактно помещаются правый полюс почки, головка поджелудочной железы, изгиб двенадцатиперстной кишки, желчный пузырь.
Листки брюшины окружают их полностью или частично. Мощные связки прикрепляют к диафрагме. Возможные причины болей мы рассмотрим в зависимости от локализации источника и с учетом характера распространения.
Если боль распространяется по подреберью сзади наперед
Наиболее частой причиной являются заболевания почек и костно-мышечного аппарата.
Пиелонефрит
Воспаление в почечных лоханках вызывается инфекцией, поступившей с кровью из хронических очагов (фурункулов, небных миндалин, гайморовой пазухи, остеомиелита, внутренних половых органов) и из мочевыводящего тракта. Заболевание может быть одно- и двусторонним, острым и хроническим. При хроническом варианте течения образуются гнойники в тканях почки.
При острой форме симптоматика быстро нарастает: повышается температура до 39 градусов, у пациента озноб, интенсивное потовыделение, тошнота, головная боль, резкая слабость. Затем при правостороннем процессе появляется боль в правом подреберье сзади со спины.
 Хронический пиелонефрит приводит к рубцеванию части паренхимы
Сначала она локальная, затем распространяется по подреберью кпереди в живот. При воспалении обеих почек — становятся опоясывающими. Больного беспокоят рези при мочеиспускании и учащенные позывы.
Гнойные осложнения развиваются по типу мелких множественных гнойничков (апостематозный пиелонефрит) или карбункулов, фурункулов. С пиелонефритом связана почечнокаменная болезнь, обеспечивающая благоприятные условия для инфицирования паренхимы.
Диагноз ставится на основании показателей анализа мочи (лейкоциты, гной, слизь, эритроциты), теста по Нечипоренко, подтверждения наличия инфекции при бак посеве. Аппаратные методики (УЗИ, экскреторная урография). При необходимости проводят цистоскопию и ангиографию почечных сосудов. Обязательна консультация гинеколога для женщин, у мужчин уролог исследует простату.
В лечении применяют диету, антибактериальные средства, противовоспалительные и мочегонные травы. При отсутствии результата и угрозе сепсиса удаляют гнойник в почке хирургическим путем вместе с пораженным участком органа. Если почка нежизнеспособна, то проводят нефрэктомию.
Мочекаменная болезнь
Образуется из-за выпадения солей в осадок, их склеивания в нерастворимые конкременты (камни). Причиной служит нарушенный обмен веществ, местный хронический воспалительный процесс, состояния, сопровождающиеся значительной потерей жидкости (поносы, рвота, отсутствие достаточного питья в жару, бесконтрольное использование мочегонных средств).
Наиболее часто обнаруживаются камни из кристаллов оксалатов, фосфатов и уратов.
Основной признак болезни — приступ почечной колики: острая боль в пояснице и в боку с иррадиацией в подреберье спереди, вниз живота, пах и наружные половые органы. Он вызван перекрытием камнем путей оттока мочи, спастическим сокращением мышечного слоя мочеточника.
Часто провоцируется перенесенной тряской в транспорте, бегом или прыжками в спортивном зале, тяжелой физической нагрузкой. На высоте болей пациенты возбуждены, возможна рвота, головная боль, вздутие живота, запор. Приступ длится от нескольких минут до 5–6 часов. По окончании с мочой выделяется свежая кровь.
 В межприступном периоде пациент ощущает тупые боли в пояснице
Для диагностики, кроме анализа мочи, необходимы контрастные методы рентгеновского исследования мочевыделительных путей, УЗИ, цистоскопия. В лечении используется диета в зависимости от типа солевого осадка мочи, мочегонные травы, уроантисептики, витамины для восстановления правильного метаболизма, специальная минеральная вода. Отсутствие эффекта и частые приступы — показания для оперативного удаления камня.
Ушибы и переломы ребер
При полученной закрытой травме правой стороны грудной клетки и поясничной области чаще всего страдают ребра. На ребра приходится до 15% от всех переломов. Важная особенность — возможность ранения внутренних органов.
Обязательно повреждается сосудисто-нервный пучок, питающий мышцы. Чаще ломаются ребра от V до VIII пары. Начиная с IX и ниже, переломы встречаются редко, поскольку эти ребра имеют достаточную подвижность.
Боль — один из основных признаков перелома. Она максимальна в зоне травмирования, отдается по межреберью кпереди. Типично усиление при дыхании, движениях, кашле. Уменьшается в сидячем положении.
Одновременно у пострадавшего наблюдаются:
- поверхностное учащенное дыхание;
 - отставание травмированной части грудной клетки;
 - кровоподтек и отечность в месте перелома.
 
При нескольких отломках врач ощущает при пальпации хруст, звук трения костей. В случае осложнений развиваются:
- подкожная эмфизема — из-за повреждения ребром ткани легкого воздух выходит под кожу;
 - кровохарканье — дополняет картину поврежденного легкого;
 - пневмоторакс — затягивание воздушной струи в плевральную полость, может сместить легкое в средостение и вызвать остановку сердца, плевропульмональный шок;
 - гемоторакс — скопление крови в плевральной полости.
 - воспаление легкого.
 
 Диагностика начинается с осмотра, врач обращает внимание на кровоподтек, невозможность пациентом глубоко вздохнуть, болезненность и местные признаки при пальпации
В сомнительных случаях используются пробы на сдавливание грудной клетки, наклон туловища в здоровую сторону. При переломе ребер болезненность резко усиливается. Рентген подтверждает наличие костных отломков. Лечение сводится к обезболиванию с помощью блокады введением спиртового раствора Прокаина, наложению циркулярной повязки для создания неподвижности.
Забрюшинная гематома
Образуется скоплением крови в результате разрыва сосудов, повреждения органов, переломов костей таза, ребер, позвоночника. Возможная причина — сильный удар при ДТП, падении с высоты. Гематома может вместить до 3 л крови. В зоне правого подреберья травме подвержены паренхиматозные органы (печень, почки, поджелудочная железа).
В зависимости от глубины и характера поражения органа выделяют разрывы:
- поверхностные — их глубина до 3 см;
 - глубокие — проникают глубже 3 см;
 - центральные — локализуются в области ворот органа;
 - подкапсульные — повреждения носят поверхностный или центральный характер при сохраненной капсуле;
 - отрыв и размозжение части или всего органа.
 
Полые органы правого подреберья (желчный пузырь, двенадцатиперстная кишка) при травме повреждаются в виде: надрыва оболочки, полного разрыва, отрыва или размозжения. Характер болей определяется тяжестью травмы.
Пациенты жалуются на резкую боль в животе, под ребрами, по боковой поверхности, в пояснице, при движениях она становится нестерпимой, головокружение, слабость, обусловленную кровопотерей, в шоковом состоянии возможен парез кишечника с прекращением перистальтики.
При небольшой гематоме симптоматика скудная: тупые или ноющие боли, которые вызваны сдавлением окружающих органов. В диагностике важен опыт врача, умение пальпировать живот, выяснять сопутствующие признаки боли. Помогает УЗИ, магниторезонансная томография.
Лечение необходимо как можно раньше. Проводится борьба с шоком терапевтическими средствами, введение кровоостанавливающих препаратов. В случаях тяжелой травмы необходима операция по остановке кровотечения.
Если болит в подреберье спереди с иррадиацией в спину
Существует достаточно обратных вариантов болевого синдрома в подреберье. Рассмотрим заболевания, которые вызывают боли в правом подреберье с иррадиацией в спину.
Желчекаменная болезнь и холециститы
Образование камней и воспаление в желчном пузыре связаны общими отягчающими обстоятельствами. Что первично – инфекция или застой желчи, – выяснить сложно. Одна патология осложняет и провоцирует другую. Существует калькулезный холецистит, объединяющий обе нозологии.

Воспалительный отек или камни в пузыре вызывают растяжение органа и болевые ощущения в правом подреберье. Обострение холецистита сопровождается резкими болями, отдающими в спину, высокой температурой, тошнотой, рвотой горечью, отрыжкой.
Провоцируют состояние: нарушение диеты (жирная, острая и жареная еда), длительные голодные дни, перерывы в приеме пищи, прием алкоголя, стрессовые ситуации, физическая работа, инфекционные болезни.
Вне обострения боли носят тупой, ноющий характер. Приступ желчекаменной болезни отличается отсутствием повышения температуры, внезапной болью режущего типа в подреберье справа и иррадиацией по правой стороне живота в бок и спину, правое плечо, ключицу, лопатку.
Из-за выброса в кровь билирубина у пациента желтеют склеры, затем кожа. Отмечается серый цвет кала, темная моча.
Приступ прекращается, если камень выходит в кишечник. При длительной закупорке желчного пузыря, появлении пульсирующей боли необходима срочная операция, поскольку гангренозный или флегмонозный желчный пузырь может в любой момент разорваться. Содержимое попав в брюшную полость вызовет тяжелый перитонит.
В диагностике используются биохимические тесты, определение билирубина в крови и моче, УЗИ области печени. Пациентам в терапевтических и профилактических целях рекомендуется соблюдать строгую диету и режим питания.
 Одна из причин воспаления поджелудочной железы — нарушение оттока секрета
Панкреатит
Воспаление поджелудочной железы провоцируется желчекаменной болезнью, холециститом и дуоденитом, приемом алкоголя, травмами органа, увлечением жирной и острой пищей. Протекает в острой и хронической форме. Они отличаются по интенсивности клинических проявлений, возможностям тканей к восстановлению функций и структуры.
Хронический панкреатит сопровождается необратимым замещением паренхимы рубцовой тканью. Боль в правом подреберье опоясывающего типа характерна для поражения головки поджелудочной железы. Одновременно возникают:
- тошнота со рвотой;
 - повышается температура;
 - нарастает слабость;
 - вздутие живота;
 - понос с жирной пленкой, покрывающей кал;
 - снижение аппетита.
 
Для постановки диагноза исследуют ферментный состав крови, мочи, копрологический анализ. С помощью УЗИ, компьютерной томографии удается выявить отечность органа, нарушение проходимости протоков. В лечении используются: жесткая диета с голодом в первые дни, противовоспалительные средства, ферменты, спазмолитики, витамины.
Подпеченочный абсцесс
Болезнь чаще всего является осложнением холецистита, гнойного аппендицита, острого некроза поджелудочной железы, сепсиса. Под нижней поверхностью печени между петель кишечника формируется осумкованный гнойник.
Симптоматика различается в зависимости от основного заболевания. Чаще всего среди признаков:
- интенсивные постоянные боли справа под ребрами, усиливаются при дыхании, иррадиируют в спину, ключицу, лопатку, плечо;
 - высокая температура с ознобом;
 - сердцебиение и склонность к гипотонии;
 - выраженная интоксикация (тошнота, головная боль).
 
Возможно менее выраженное течение с умеренными болями, невысокой температурой. Для болевого синдрома характерно усиление при нажатии на область печени.
В диагностике используются УЗИ, компьютерная томография, показатели крови. Необходимо стационарное лечение антибиотиками, дезинтоксикация на фоне проведения операции по дренированию абсцесса.
Аппендицит
Воспаление червеобразного отростка не всегда протекает классически. Болезнь провоцируют каловые массы, закупорившие просвет, нарушенное кровоснабжение, снижение перистальтики толстой кишки.
 Аппендикс свободным краем может уходить в подпеченочное пространство и за брюшину
Атипичная боль во время приступа может возникнуть в правом подреберье. Ее усиливает дыхание, кашель, движения, положение на левом боку. Может вначале носить ноющий характер, отдавать в спину, сопровождаться недомоганием, тошнотой.
Затем температура повышается до высоких цифр, появляется рвота, неустойчивый стул, боли становятся интенсивнее. Для нагноения характерна пульсация в правой подвздошной зоне. Диагностические признаки сложно отличить от других заболеваний правого подреберья.
Поэтому врачи наблюдают динамику болезни, проводят повторные исследования крови. Очень важно своевременно прооперировать пациента и удалить воспаленный отросток. С каждым часом возрастает риск разрыва и перитонита. До и после операции назначаются антибиотики.
Когда боли в подреберье вызывают болезни органов дыхания?
Общая пограничная зона (диафрагма) и участие в акте дыхания способствуют отраженным болевым проявлениям в правом подреберье при болезни легкого и плевры с правосторонней локализацией.
Пневмония
Острое воспаление легочной ткани вызывается бактериальной флорой, вирусами, грибковой инфекцией, паразитами. Наиболее часто сопровождается болями в правом подреберье крупозная пневмония. Изменения легочной ткани проходят четыре этапа:
- прилив — вызывает наполнение легочных сосудов кровью и выход фибрина в альвеолы;
 - красное опеченение — ткань уплотняется, по структуре становится похожей на печеночную, увеличивается число эритроцитов;
 - серое опеченение — эритроциты распадаются, в альвеолах накапливаются лейкоциты;
 - разрешение — обратное развитие процесса и восстановление ткани легкого.
 
Острая боль возникает в области лопатки, в других частях грудной клетки. Она способна иррадиировать в правое подреберье, живот. Боль усиливается при кашле, резких движениях, физической нагрузке. У пациентов повышена температура, одышка, откашливается мокрота с прожилками крови.
Диагноз подтверждается при перкуссии и аускультации легкого, на рентгенограмме. Имеются характерные изменения в крови, в анализе мокроты. Пневмонию лечат антибактериальными средствами или в зависимости от причины противогрибковыми и противовирусными препаратами.
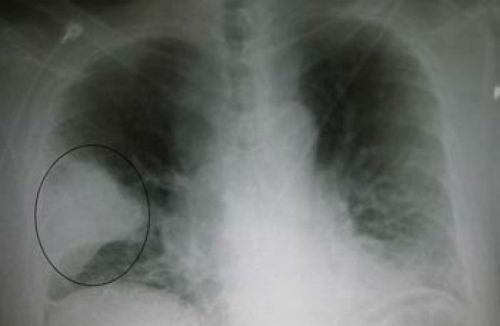
 Судя по снимку, поражена целая доля правого легкого, она полностью выключается из дыхания
Правосторонний плеврит
Воспаление плевральных листков сопровождает пневмонию, туберкулез, травмы грудной клетки, острый панкреатит, аллергические проявления. Характерны интенсивные режущие боли в грудной клетке, области лопатки, в пояснице, под ребрами. Пациента беспокоит одышка, болезненный кашель, высокая температура, выраженная интоксикация.
Диагноз подтверждается при рентгеновском обследовании. Лечат плеврит антибактериальными препаратами, противотуберкулезными и антигистаминными средствами. При значительном скоплении жидкости проводят пункцию с откачиванием и промыванием плевральной полости, в нее вводят антибиотики. Боли в спине и под ребрами нельзя рассматривать изолированно без других проявлений и по ним ставить диагноз. Симптом оценивается только после обследования и выявления причины.
Источник






