Рентгенологическое исследование позвоночника является одним из самых популярных методов диагностики благодаря неинвазивности, высокому уровню информативности, простоте проведения. Данный способ обследования предоставляет врачу возможность обнаружить у пациента заболевания позвонков, даже когда они пребывают на начальной стадии развития. Основываясь на том, что показывает рентген позвоночника, врач оценивает тип и характер изменений, произошедших в костной ткани, определяет точную локализацию очага патологии, выбирает соответствующую тактику лечения.
Что видно на рентгенограмме позвоночника
Рентгеновский снимок состоит из комбинаций зон затемнения белого цвета и участков просветления серо-черных оттенков. Зоны затемнения – это костная ткань, которая обладает способностью задерживать рентгеновские лучи. Поскольку излучение, исходящее из аппарата, беспрепятственно проходит через межпозвонковые диски и мягкие ткани, они имеют вид участков просветления. Трещины, переломы, межпозвонковые щели, которые позволяет визуализировать рентген позвоночника, выглядят как линии просветления разной длины и ширины.
Врожденные и приобретенные аномалии развития костной ткани, опухоли, искривления и смещения позвоночника, инфекционные заболевания (туберкулез, сифилис позвоночника), воспалительный процесс (спондилит), травматические повреждения (переломы, компрессия – чрезмерное сжатие позвонков), скопление жидкости в полостях суставов, истончение костной ткани (остеопороз), дегенеративно-дистрофическое поражение суставов (остеоартроз) – это перечень того, что покажет рентген спины.
Какие существуют показания и противопоказания к исследованию
Обследование проводится на основании направления лечащего врача (терапевта, невропатолога, ортопеда, травматолога, вертебролога). Показаниями к процедуре являются:
- продолжительные боли в одном или нескольких отделах позвоночника;
- частые головокружения и потери сознания;
- нарушение осанки;
- травма позвоночника;
- ощущение онемения, жжения и покалывания в конечностях (парестезия);
- повторяющиеся на протяжении длительного периода судороги мышц нижних конечностей;
- врожденные патологии позвоночника;
- подозрения на остеопороз, остеоартроз, туберкулез и другие заболевания.
Рентгенографию назначают также для контроля динамики болезни в процессе лечения. Исследование проводится и перед запланированным хирургическим вмешательством, чтобы подтвердить отсутствие у пациента противопоказаний к нему. Рентген после операции необходим, чтобы оценить, насколько она была эффективной. Если пациент ранее прошел лечение онкологического заболевания, ему следует периодически делать рентген позвоночника, чтобы врачи могли своевременно обнаружить возможный рецидив и принять необходимые меры, направленные на блокировку развития патологического процесса.
Противопоказаниями к рентгенологическому исследованию являются обширные внутренние кровоизлияния, тяжелое состояние пациента, сопровождающееся лихорадкой, нервные расстройства, беременность и период лактации. Из-за лучевой нагрузки не рекомендуется назначать данную диагностическую процедуру детям до 15 лет. Если же с точки зрения лечащего врача рентген шеи ребенку или же другого отдела позвоночника крайне необходим для постановки диагноза, исследование может быть проведено, но участки тела, которые не обследуются, должны быть прикрыты защитными свинцовыми экранами.
Необходима ли специальная подготовка к рентгенографии
Предварительная подготовка нужна перед обследованием пояснично-крестцового отдела позвоночника. Она направлена на снижение количества газов в кишечнике и очищение его от каловых масс. В противном случае газы могут визуализироваться на снимках, а полный кишечник станет причиной появления дополнительных теней на изображении, что в целом исказит результат.
Отвечая на вопрос о том, как подготовиться к рентгену позвоночника, следует указать, что пациенту в течение 3-4 суток до исследования необходимо придерживаться бесшлаковой диеты. Из рациона нужно исключить:
- сладости;
- хлебобулочные изделия;
- жирное мясо и рыбу;
- капусту и картофель в любом виде;
- молоко и кисломолочные продукты с высоким процентом жирности;
- бобовые;
- свежие овощи и фрукты;
- пряности;
- чай и кофе;
- газированные напитки;
- алкоголь.
Можно есть отварную курицу, говядину, рыбу, приготовленную на пару, нежирные кисломолочные продукты, диетические бульоны, вареные яйца, галеты. Из напитков рекомендуются травяные чаи, свежевыжатые соки, компоты из сухофруктов, вода. Перед процедурой нельзя ужинать, а утром – завтракать. До еды нужно принимать ферментные лекарственные средства, а после – активированный уголь.
Вторая часть подготовительного процесса – это клизма перед рентгеном пояснично-крестцового отдела позвоночника. Стоит сделать ее накануне процедуры дважды – вечером и утром. Альтернативный вариант – принять слабительное (к примеру, «Дюфалак», «Флит» или «Фортранс»).
Еще одно требование – отказ от курения за несколько дней до диагностики.
Если больной пребывает в состоянии нервного стресса, можно пропить на протяжении 3-4 суток до рентгенологического исследования настой валерианы (по 10 капель 3 раза в день). Перед тем как делают рентген позвоночника, пациента просят устранить с обследуемой части тела всю одежду и рентгенконтрастные предметы (к примеру, ремень, шейные украшения).
Как проводится рентгенологическое исследование
Пациенту в зависимости от симптомов, с которыми он обратился в медицинское учреждение, назначают обследование всего позвоночника или одного из его отделов.
Рентгенография шейного отдела позвоночника в 2 проекциях показана при головных болях, ряби в глазах, головокружениях, болезненных ощущениях в процессе поворота головы, травмах шеи, подозрениях на наличие инфекционных заболеваний костной ткани. Для получения изображений в прямой и боковой проекциях пациента просят лечь на стол, затем встать. Снимки первого, второго и третьего позвонков делают через открытый рот (трансоральная рентгенограмма).
Рентген грудного отдела позвоночника в двух проекциях (боковой и прямой) назначается, если данный участок был травмирован или же больной жалуется на дискомфорт в груди, болевые ощущения во время поворачивания корпуса и при наклонах. Изредка может выполняться снимок в косой проекции, если виды спереди и сбоку не показывают никаких отклонений от нормы и не позволяют врачу поставить диагноз. Чтобы получить изображение в косой проекции, рентген-лаборант сам определяет оптимальную позу и помогает пациенту ее принять.
Отвечая на вопрос о том, как делают рентген поясничного отдела позвоночника, следует также указать, что чаще всего для постановки диагноза достаточно двух проекций – прямой и боковой. В некоторых случаях для получения требуемых изображений пациента просят согнуть ноги в положении лежа на боку. Назначается процедура при искривлении позвоночника, подозрении на наличие у больного опухолей костной ткани, боли в спине и пояснице, периодическом онемении нижних конечностей.
Рентгенография крестцово-подвздошного сочленения проводится при травмах, болевом синдроме в пояснице и копчике, онкологических и воспалительных процессах, патологиях межпозвоночных дисков. Сакроилеит очень важен в диагностике псориатического артрита, болезни Бехтерева, при ревматологической патологии. Базовые проекции снимков – прямая и боковая. Иногда для постановки диагноза возникает необходимость получить изображения в согнутом и разогнутом положениях пациента.
В среднем рентгенологическое исследование разных отделов позвоночника занимает от 15 до 20 минут.
Что являет собой рентгеновское исследование с функциональными пробами
Многие пациенты задаются вопросом: «Рентген с функциональными пробами – что это?». Сущность данной диагностической процедуры заключается в выполнении больным специальных физических упражнений, которые приводят к смещению центра тяжести. После того как пациент выполнит команду и примет указанное положение, рентген-лаборант делает снимок, с помощью которого можно более детально изучить функциональные возможности позвоночного столба и оценить его состояние, а также визуализировать на снимке те участки, которые при обычном положении тела видны недостаточно хорошо.
Чаще всего проводится рентген шейного отдела с функциональными пробами. К примеру, пациента просят максимально согнуть шею, прикоснуться к груди подбородком, запрокинуть голову назад. На основании полученных изображений можно установить, смещены ли вышележащие позвонки по отношению к нижележащим, определить, насколько деформирована передняя стенка позвоночного канала (в норме она выглядит плавной по всей длине, как показывает рентген здорового позвоночника).
Как расшифровываются результаты исследования
Рентгенограмма позволяет рассмотреть изгибы позвоночника, текущее положение позвонков по отношению друг к другу, оценить степень их плотности, толщину, высоту, сделать выводы о целостности коркового слоя. При чтении готового снимка врач обращает особое внимание на участки просветления – они могут свидетельствовать о нарушении целостности кости, истончении костной ткани. Светлые округлые пятна указывают на развитие опухолевого процесса. В зависимости о того, что показывает рентген грудного отдела позвоночника или других его участков, врач ставит окончательный диагноз и назначает лечение.
Рентгенологические признаки грыжи позвоночника
Наиболее частым последствием остеопороза является межпозвонковая грыжа. Она представляет собой смещение части межпозвонкового диска, который подвергся деформации. Чаще всего заболевание возникает в поясничном отделе позвоночника. Многие пациенты интересуются, можно ли увидеть грыжу позвоночника на рентгене. Поскольку межпозвонковый диск – это фиброзно-хрящевое образование, которое хорошо пропускает рентгеновские лучи и выглядит на снимке как участок просветления, грыжа на рентгенограммах не визуализируется.
О наличии данной патологии можно судить из текущего расстояния между позвонками: если они сместились на 4 мм и более, врач делает предположение об образовании грыжи.
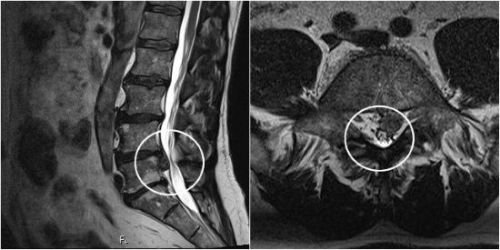
Одна из разновидностей заболевания – грыжа Шморля – прорыв в тело позвонка хрящевой ткани из межпозвонкового диска. Грыжа Шморля на рентгене (снимки представлены ниже) проявляется вогнутостью замыкательных пластинок внутрь тела позвонка. Вокруг очага патологии расположены белые участки затемнения (остеосклероз – патологическое повышение плотности костной ткани), в зоне губчатого вещества – серо-черные участки просветления (остеопороз – снижение плотности костной ткани). Говоря проще, грыжи Шморля выступают из диска вверх и вниз в тела соседних позвонков, и протекают бессимптомно, в отличие от классических протрузий и грыж, когда диск деформирован в горизонтальной плоскости, с возможной компрессией сосудисто-нервных пучков.
Как диагностируют остеохондроз на основании рентгенограммы
Остеохондрозом называется заболевание, связанное с дегенеративно-дистрофическими изменениями хрящевой ткани позвоночника и деформацией межпозвонковых дисков. Рентген при остеохондрозе выполняется в двух проекциях – боковой и прямой. Признаками данного заболевания на снимках являются:
- уменьшение расстояния между соседними позвонками (сужение межпозвонковых щелей, где и локализованы межпозвонковые диски);
- остеофиты (краевые разрастания тел позвонков);
- снижение плотности костной ткани;
- срастание соседних позвонков остеофитами скобообразной формы.
На изображениях, представленных ниже, видны рентгенологические симптомы остеохондроза.
Отвечая на вопрос о том, как выглядит остеохондроз на рентгене на разных этапах своего развития, необходимо указать, что для первой стадии характерно сужение межпозвонковой щели на расстояние, равняющееся приблизительно трети тела позвонка, для второй – не более чем половине тела позвонка, а для третьей и четвертой – почти двум третям тела позвонка. Как свидетельствует медицинская практика, проявляться могут признаки остеохондроза на рентгене любого отдела позвоночника. Но чаще всего заболевание поражает шейный и поясничный отделы.
Как выглядят на рентгене искривления позвоночника
Искривление позвоночника влево или вправо относительно его оси называется сколиозом. Чтобы его диагностировать, делают как минимум два снимка: один – в горизонтальном положении (когда пациент лежит на спине), а второй – в вертикальном (когда пациент стоит). При этом соблюдается одинаковое фокусное расстояние (от 120 до 150 см). На изображении можно увидеть сколиотическую дугу (посмотрите на представленные ниже снимки). Чтобы узнать, на какой стадии развития пребывает заболевание, измеряют угол сколиоза в градусах.
Рентгенография пояснично-крестцового отдела позвоночника позволяет обнаружить поясничный лордоз. Он выглядит как чрезмерный дугообразный изгиб позвоночного столба центром дуги вперед (обратите внимание на снимок). Иногда данное заболевание поражает и шейный отдел. Часто лордоз может сопутствовать сколиозу.
Грудной отдел позвоночника часто подвержен развитию такой разновидности искривления, как кифоз. Это заболевание, как и лордоз, может развиваться параллельно со сколиозом. Кифотическое искривление позвоночника на рентген-снимке имеет вид чрезмерной его выпуклости дугой назад, в связи с чем у человека формируется горб.
Какие еще заболевания видны на рентгенограммах
На рентгеновских снимках отчетливо визуализируются переломы, имеющие вид полос просветления, проходящих поперек, вдоль кости, реже – по диагонали. Позвонки же часто подвергаются компрессионным переломам – нарушению целостности в результате сдавливания, что приводит к уменьшению их высоты. Поэтому возникает вопрос относительно того, видно ли компрессионный перелом позвоночника на рентгене. Ответ положительный. О наличии такой травмы у пациента врач делает выводы, исходя их следующих рентгенологических признаков: клиновидной формы тела позвонка и сжатия его по высоте, неровной замыкательной пластинки, увеличенной межпозвонковой щели (по сравнению с размерами тех, которые расположены между неповрежденными позвонками).
Отвечая на вопрос о том, что показывает рентген шейного отдела позвоночника, следует назвать аномалию Киммерли. Это дополнительная костная дужка в шейном отделе позвоночника, которая имеет вид полукольца. Когда человек наклоняет голову, происходит сдавливание позвоночной артерии, расположенной между первым шейным позвонком и самой дужкой. В результате нарушается кровоток в одной из артерий, отвечающих за кровоснабжение ствола головного мозга. Аномалия Киммерли отчетливо визуализируется на рентгенограмме как замкнутый костный канал (в редких случаях – незамкнутый) для позвоночной артерии.
Благодаря рентгенологическому исследованию позвоночника удается диагностировать болезнь Бехтерева (анкилозирующий спондилоартрит). Данное заболевание заключается в срастании (анкилозе) межпозвонковых суставов в результате их воспаления, что в итоге приводит к ограничению подвижности позвоночника. Рентгенологические признаки болезни Бехтерева следующие: нечеткость костных краев, сужение суставных щелей и замыкательных пластинок, наличие краевых остеофитов вдоль боковых углов тел позвонков, эрозии костной ткани, обызвествление продольных связок, квадратная форма позвонков на снимке, выполненном в боковой проекции.
Насколько часто можно проходить рентгенологическое исследование
Пациенты с заболеваниями опорно-двигательного аппарата часто интересуются, сколько раз в год можно делать рентген позвоночника. Если есть необходимость постоянно контролировать течение болезни и эффективность лечения, врачи назначают данный метод диагностики не более двух раз на протяжении 12 месяцев.
Во время процедуры пациент получает облучение, объем которого составляет 1,5 миллизиверта (мЗв).
Максимально допустимая доза радиации равняется 150 мЗв в год.
Таким образом, доза облучения при рентгене позвоночника не способна причинить взрослому человеку существенного вреда и вызвать нарушения в работе внутренних органов и систем. Поэтому нет необходимости в проведении какой-либо реабилитации пациента по окончании процедуры.
Отличие рентгена от магнитно-резонансной и компьютерной томографии
Если у врача есть подозрения, что в патологический процесс вовлечены окружающие позвоночник мягкие ткани, сосуды, нервы, назначается компьютерная томография (КТ), магнитно-резонансная томография (МРТ), поскольку, как было указано раньше, на рентгене они не визуализируются.
Компьютерная томография проводится также с использованием рентгеновского излучения. Но при обычной рентгенодиагностике оно проходит сквозь ткани тела и обеспечивает фиксацию двухмерного изображения на специальной пленке. А при КТ лучи проникают в ткани послойно в разных направлениях, давая объемное изображение, выводимое на монитор. Доза облучения при КТ шейного и грудного отдела позвоночника составляет около 5 мЗв, поясничного отдела – 5,4 мЗв.
Магнитно-резонансная томография также обеспечивает 3D-изображение, но основывается на применении электромагнитного излучения. Радиоактивное облучение при МРТ отсутствует, поэтому процедура разрешена даже беременным женщинам.
Итог
Рентген позвоночника – это относительно недорогой, быстрый и достаточно информативный метод диагностики, который позволяет обнаруживать большинство заболеваний костной ткани. Поскольку оборудованием для него обеспечены практически все медицинские учреждения, каждый пациент даже в экстренной ситуации может рассчитывать на обследование и постановку диагноза.
Рентген пояснично-крестцового отдела позвоночника: подготовка, как делают? | рентген крестцово : Видео
Загрузка…
Источник
Необходимость в обследовании позвоночника рано или поздно возникает почти у каждого человека. Причин для назначения может быть великое множество, так же как и диагностических методов. Зачастую для этих целей применяется рентгенологическое исследование, благодаря сочетанию простоты, не инвазивности, высокой информативности, и что немаловажно, достаточно низкой цены по сравнению с другими методиками.
Рентген позвоночника всего лишь за несколько минут дает возможность получить всю необходимую информацию об интересующем органе, что иногда является очень важным условием проведения правильной и своевременной терапии. Рентгенографию позвоночника (создание снимков) можно делать как полностью, так и отдельных участков (отделов), позволяющую сконцентрироваться на конкретном и внимательно его изучить.
Принцип действия рентгеновских лучей
Функциональная диагностика с использованием лучей, открытых Вильгельмом Конрадом Рентгеном – всемирно известнейшим немецким физиком, основывается на возможности специального аппарата генерировать данное излучение. Составляющие лучи частицы, проходя сквозь ткани человеческого тела, имеют свойство накапливаться в образованиях, содержащих большое количество кальция, таких как костные структуры.
При этом мягкие ткани остаются абсолютно незамеченными, и, следовательно, изучить их не представляется возможным. После преломления лучи выводятся на экран монитора или на специальные приспособления для создания рентгеновских фото исследуемых частей позвоночного столба. Из-за своей особенности рентгенография позвоночника стала одним из самых востребованных способов диагностирования множественных заболеваний позвонков и образующих ими отделов.
Насколько вредно проходить рентген позвоночника?
Всем давно известно, что, кроме многих плюсов рентгенографии, существует один весомый и обычно пугающий многих пациентов минус – это получение радиационного облучения при прохождении процедуры. В страхе облучиться больные пытаются уговорить врача назначить МРТ (магнитно-резонансную томографию), которая не выделяет радиационное поле и не является сильно дорогим методом.
Но как правило, лечащий врач старается переубедить пациента, объясняя, чем отличается МРТ от рентгена и что показывает рентген позвоночника. А отличия, кроме присутствия радиоактивного облучения, еще и заключаются в невозможности при использовании МРТ визуализировать костную ткань, что данный метод направлен на детальное изучение мягких органов. Поэтому для исследования костных структур всегда в приоритете рентгеноскопия – осмотр с применением рентгеновского излучения.
Тогда напрашивается следующий вопрос, если описываемое исследование может принести определенный вред, как часто можно делать рентген позвоночника? Проходя рентгенографию позвоночника, человек получает дозу в 1,5 мЗв (милизиверт), соответствующую природному облучению, которому он подвергается на протяжении полугода. А если сравнивать с пользой диагностирования и излечения от заболевания, то ее ценность не оставляет сомнений.
Рентген-аппарат нового поколения, используемый для диагностики
Создание современной аппаратуры, применяемой для проведения процедуры, позволяет сделать рентген позвоночника с гораздо меньшими дозами облучения. Поэтому при ее назначении стоит поискать клинику с приборами, выполненными по новым разработкам, где сделать диагностику будет гораздо безопаснее. В случае когда приходится регулярно подвергаться рентгенологическому обследованию, врачи должны фиксировать количество пройденных процедур, контролируя полученные дозы облучения пациента.
Также больному следует самому позаботиться о минимизировании радиации в своем организме. Это можно сделать, включив в свой пищевой рацион натуральный виноградный сок, молоко, зеленый чай, и непосредственно после исследования можно выпить стакан красного вина, что поможет быстрее избавить организм от радиоактивного облучения.
Какие заболевания позвоночника можно обнаружить при помощи рентгена?
Правильно выполненный рентгеновский снимок обеспечит врача всей необходимой информацией относительно состояния позвоночника, его структуры и соответственно функциональности. Причем диагностика позволяет оценить позвоночный столб как весь в комплексе, так и образующие его участки по отдельности. Самым первым этапом изучения полученного снимка является оценка формы позвоночника, физиологических искривлений (в грудном отделе – лордоза, в пояснично-крестцовом – кифоза).
Параллельно выявляются имеющиеся патологические искривления (сколиоз), а также различные травмы.
Также у диагноста есть возможность уточнить целостность тел позвонков, их дуг, отростков и оценить симметричность. Изображение на снимке покажет структурные особенности костной ткани позвонков, плотность и толщину коркового слоя, проявления остеопороза, онкологические процессы и патологии суставных поверхностей.
Таким образом, проведение рентгенографии позвоночника способно обнаружить практически все метаболические и деструктивно-дистрофические нарушения, включающие в себя:
- переломы, деформации и компрессии позвоночника;
- искривления (физиологические и патологические);
- поражения суставов и хрящевых поверхностей;
- скопление жидкости в суставных полостях;
- спондилолистез (смещение) позвонков;
- остеохондроз, остеопороз, остеоартроз;
- онкологические процессы;
- врожденные патологии;
- межпозвоночные грыжи;
- инфекционные заболевания.
С помощью рентгеноскопии можно обнаружить системные заболевания, такие как ревматоидный артрит и болезни Бехтерева, Педжета, Шарко, а также проследить деструктивные изменения при артрите и туберкулезе позвоночника
Для получения наиболее информативного изображения позвоночника, рентгенографию делают в двух проекциях – прямой, при которой пациент располагается лежа на спине и боковой или косой. Для повышения качества снимков пояснично-крестцового отдела требуется особая подготовка, а все остальные участки позвоночника не нуждаются в дополнительных мероприятиях.
В случае если результаты обследования требуются срочно, например, при сложных травмах, требующих немедленного медицинского вмешательства, от подготовительных мер приходится отказаться, чтобы не рисковать драгоценным временем. Кроме подготовки, практически каждый отдел имеет свои особенности проведения диагностики, которые обязательно учитываются при назначении.
Шейный отдел
Шейный отдел – один из наиболее подвижных участков позвоночника и при этом часто подвергающийся различным патологиям. Поэтому, если пациент обращается в медицинское учреждение с жалобами на головную боль без определенных причин, головокружение, рябь перед глазами, болезненность при поворотах головы, перенесенную травму в области шеи, симптомы инфекционных заболеваний, то лечащий врач в большинстве случаев рекомендует пройти рентгенологическое обследование шейно-грудного отдела позвоночника.
Данная процедура не потребует от пациента сложной подготовки. Для прохождения рентгенографии шейно-грудного отдела обследуемому нужно будет раздеться до пояса и снять с себя все украшения.
Затем рентгенолог скажет, какое необходимо принять положение, чтобы на снимке было как можно лучше видно диагностируемый участок позвоночника. Такая процедура обычно занимает не более 10–15 минут. Еще несколько минут затрачивается на печать снимков, если рентген проводится на цифровом аппарате.
Грудной отдел
Если же пациент предъявляет жалобы на дискомфорт и болевые ощущения в области груди, то ему, по всей вероятности, показан рентген грудного отдела. Также как и для обследования шейного отдела, пациенту нет необходимости подготавливаться к процедуре, за исключением избавления верхней части тела от одежды и украшений. Лечащий врач, опираясь на локализацию болевых ощущений пациента, может порекомендовать пройти рентген грудно-поясничного отдела, если боль беспокоит ближе к пояснице, и шейно-грудного, если недалеко от области шеи. Обследование также проходит достаточно быстро, не занимая больше 15 минут.
Поясничный отдел
Рентгенографию поясничного отдела назначают при искривлениях позвоночника, сопровождающихся онемением рук, ног и болевых ощущениях в области спины и поясницы. Также не обходится без данного обследования при подозрениях на онкологические заболевания или грыжу.
Патологии, определяемые с помощью рентгена позвоночника, имеют широкий диапазон перечня
От диагностики вышеперечисленных отделов, рентген поясничного отдела отличается необходимостью для больного подготовиться к процедуре. Подготовка заключается в принятии мер по снижению процесса газообразования в желудке и кишечнике, так как при создании снимков газ имеет свойство визуализироваться, и, таким образом, искажать полученные результаты.
Поэтому за 3–4 дня до обследования, если процедура назначается в плановом порядке, пациенту следует придерживаться диеты, подразумевающей исключение бобовых, хлебобулочных изделий, жирных видов мяса, рыбы, сыров и молочных продуктов. А также убрать из рациона сырые овощи и фрукты, крепкий чай и кофе, алкоголь, газированную воду и напитки.
Последний прием пищи должен быть не позднее 8–9 часов, и обязательно на этот период следует отказаться от курения. Второй частью подготовительного процесса станет очищение кишечника, которое можно произвести посредством клизм, слабительных лекарств или специальных препаратов, препятствующих удержанию жидкости в толстой кишке. К последним относятся Фортранс, Флит, Дюфалак и др.
Провести чистку кишечника нужно за несколько часов до планируемого исследования, поэтому стоит внимательно ознакомиться с существующими способами очищения, и при выборе одного из них выяснить все аспекты подготовки. При достаточном приготовлении больного процедура обычно не превышает 20 минут, но в основном время исследования зависит от количества сделанных снимков.
Крестцовый отдел и копчик
Обследование крестца и копчика, ввиду их относительно небольшой площади и тесной связке и поясничным отделом, зачастую так и проводят вместе, не разделяя их. Это помогает шире увидеть патологическую картину и облегчает процесс выбора терапии. Итак, диагностика пояснично-крестцового отдела рекомендуется при болях в пояснице и копчиковом отделе, после травм различного характера, патологиях межпозвоночных дисков, а также онкологических воспалительных процессах.
Как и при рентгене поясничного отдела, к данной процедуре требуется идентичная подготовка, включающая диету и очищение толстого кишечника. Лишь в отдельных случаях обследование может назначаться экстренно и без подготовительных мероприятий.
Процедура ничем не отличается от любого рентгенографического осмотра позвоночника – снимки выполняются в двух проекциях, но иногда дополнительно фиксируются при других положениях, например, в разогнутом или согнутом. Это обеспечивает получение полной картины состояния этих участков позвоночника. Такие методы называются функциональными пробами, и бывают случаи, когда только благодаря им получалось зафиксировать различные патологические изменения позвоночника. Поэтому в спорных ситуациях их применение целесообразно и необходимо для назначения адекватного лечения.
Боковая и прямая проекции на снимке пояснично-крестцового отдела
Что на снимке доступно увидеть обычному человеку?
Безусловно, правильно прочитать рентгеновский снимок сможет только лишь специалист, но некоторые отклонения от нормы может распознать любой. На снимке видно черно-белое изображение исследуемого органа с участками, отличающимися цветовой интенсивностью. Самыми светлыми и ярко выраженными являются костные структуры, а вот мягкие ткани практически не видны – в них лучи не задерживаются и не фиксируются, проходя их насквозь.
На снимке легко заметить перелом – он выглядит как трещина или смещение участков кости. Сколиоз определяется при отклонении позвоночника в сторону. Округлой формы затемнения с четкой визуализацией границ зачастую указывают на наличие новообразований. Хрящи, как правило, не определяются при рентгене, но уменьшение их толщины можно определить по расстоянию между позвонками, что характерно для остеохондроза.
Источник



